Rehabilitation with implants and ceramic crownsclinica-pinheiro-torres2018-02-21T10:30:44+00:00
Recovery with Feldspathic Facetsclinica-pinheiro-torres2018-02-20T10:43:34+00:00
Lack of volume on the right superior side
clinica-pinheiro-torres2017-11-20T10:31:15+00:00Economist · 45 years
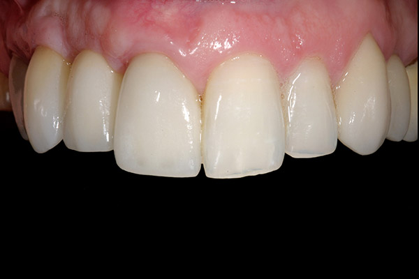
Left superior central incisor radicular fracture
clinica-pinheiro-torres2017-11-20T10:32:25+00:00College Professor · 34 years